Galerina graminea
(2)





Gelblicher Grasland-Häubling

aktualisiert: 30.11.2021

Autoren:
(Velenovský) Kühner
Klassifikation:
Fungi, Dikarya, Basidiomycota, Agaricomycotina, Agaricomycetes, Agaricomycetidae, Agaricales, Agaricineae, Strophariaceae, Galerina
Aktueller Name gem. MycoDB
Current name: Galerina graminea (Velen.) Kühner, Encyclopédie Mycologique 7: 168 (1935) [MB#252424]
Basionym:
Galera graminea Velen., Ceske Houby 3: 548 (1921) [MB#266349]
Taxonomic synonyms:
- Agaricus laevis Pers., Mycologia Europaea 3: 164, t. 25:1 (1828) [MB#463449]
- Galerina laevis Singer, Persoonia 2 (1): 31 (1961) [MB#331096]
- Galera laevis (Pers.) anon. ined. (1961) [MB#356808]



Mikroskopisch bedeutsam sind die kopfigen Zystiden, die sowohl als Pileozystiden (in der HDS), als Cheilozystiden (an den Lamellen) und Chaulozystiden (am Stiel) vorkommen. Ebenfalls ist der lebhaft orange-ocker farbige Fruchtkörper und der Standort auf nähstoffreichen Böden ein gutes Indiz.
"
Ebenfalls findet man in keinem Teil des Fruchtkörpers Schnallen.
"
Galerina laevis = Galerina graminea

Fruchtkörper / Habitus / Wachstumsform
Frisch mit lebhaft ockerfarben
Sporenmasse
7-9 x 4-5,5 µm
Sporenfarbe in Wasser (Mik)
Gelblich
Sporenform
Mandelförmig
Sporenmembran, Oberfläche, Skulptur
Nur sehr fein ornamentiert / punktiert
Sporenmerkmale
Dickwandig, glatt, mit Keimporus
Sporenwand
Dickwandig
Hutdeckschicht
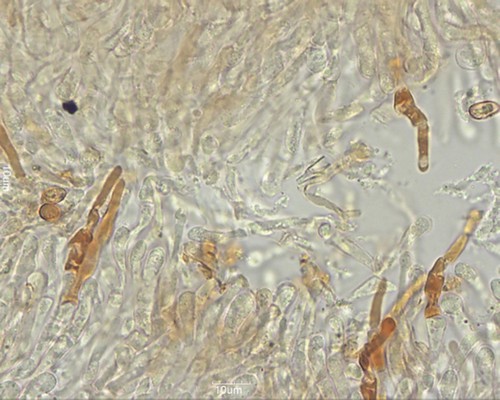
Parallelliegende Hyphen dazwischen Pileozystiden, braun teilweise braun pigmentierte Hyphen
Chaulozystiden
Mit langen Hälsen und teilweise stecknadelartigen Köpfen
Cheilozystiden
Mit langen Hälsen, flaschenförmig
Schnallen
Keine

Arten:
Gattung/en:
Siehe auch



Galerina graminea - Flammer, T© 5544
Galerina graminea -
Galerina graminea - Flammer, T© 6497
Galerina graminea -
Galerina graminea - Flammer, T© 5543
Basis leicht bläuend
Galerina graminea -
Galerina graminea - Flammer, T© 6498
Galerina graminea -
Galerina graminea - Flammer, T© 6384
Galerina graminea -
Galerina graminea - Flammer, T© 5545
Galerina graminea -
Galerina graminea - Flammer, T© 8690
Galerina graminea -
Galerina graminea - Flammer, T© 5546
Galerina graminea -
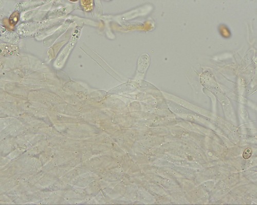
Galerina graminea - HDS - Flammer, T© 6500
Galerina graminea - HDS -
Galerina graminea - HDS - Flammer, T© 5547
braun pigmentiert, teilweise etwas inkrustiert
Galerina graminea - HDS -
Galerina graminea - Cheilozystiden - Flammer, T© 6386
Galerina graminea - Cheilozystiden -
Galerina graminea - HDS - Flammer, T© 6496
Galerina graminea - HDS -
Galerina graminea - Cheilozystiden - Flammer, T© 6385
Galerina graminea - Cheilozystiden -
Galerina graminea - Zystiden - Flammer, T© 5566
Galerina graminea - Zystiden -
Galerina graminea - HDS - Flammer, T© 5569
Pleurozystide?
Galerina graminea - HDS -
Galerina graminea - Kaulozystiden - Flammer, T© 6499
Galerina graminea - Kaulozystiden -
Galerina graminea - Flammer, T© 5568
Galerina graminea -
Galerina graminea - Kaulozystiden - Flammer, T© 6387
Galerina graminea - Kaulozystiden -
Galerina graminea - Cheilozystiden - Flammer, T© 5570
Galerina graminea - Cheilozystiden -
Galerina graminea - Flammer, T© 5548
Galerina graminea -
Galerina graminea - Flammer, T© 5656
Galerina graminea -

Impressum